Chapter 11 Selected Diseases and Disorders of the Nervous System
Chapter 11 Nervous System Diseases and Disorders – Sarah
Zoë Soon
Creative Commons – Simple Pictures, Images, Video Clips, and/or Gifs that help illustrate the following:
- Brain Surface Anatomy – Lobes and Cerebellum
-

Frontal Lobe, Parietal Lobe, Temporal Lobe, and Occipital Lobe -

Parts of the Human Brain 
Basic structures of the brain highlighted. - Brain Surface Anatomy – Primary Motor Cortex, Primary Somatosensory Cortex

Figure 13.8 Brodmann’s Areas of the Cerebral Cortex Brodmann mapping of functionally distinct regions of the cortex was based on its cytoarchitecture at a microscopic level. 
Figure 16.21. The human cerebral cortex includes the frontal, parietal, temporal, and occipital lobes. 
Human Motor Cortex. 
Brain Motor & Sensory. 
Figure 14. The primary motor cortex on the precentral gyrus is directly anterior to the central sulcus. It is organized so certain areas of the motor strip send signals to specific body parts like the tongue or fingers. 
Cerebrum lobes. - Brain Deep Anatomy – Hypothalamus, Thalamus, Midbrain, Medulla Oblongata, Pons





- Dura Mater, Arachnoid Mater, Pia Mater







- Dural Folds

Falx cerebri and tentorium cerebelli 
Dural Folds. - Dural Sinuses

Figure 13.16 Dural Sinuses and Veins Blood drains from the brain through a series of sinuses that connect to the jugular veins. 
Main veins and sinuses of the human brain. 
Dural Sinuses. - Wernicke’s Area, Broca’s Area, Aphasia, Dysphasia, Receptive (Fluent) Aphasia, Expressive (Non-fluent) Aphasia

Figure 16.6 Broca’s and Wernicke’s Areas Two important integration areas of the cerebral cortex associated with language function are Broca’s and Wernicke’s areas. The two areas are connected through the deep white matter running from the posterior temporal lobe to the frontal lobe. 
Figure 16.5 Types of Cortical Areas The cerebral cortex can be described as containing three types of processing regions: primary, association, and integration areas. The primary cortical areas are where sensory information is initially processed, or where motor commands emerge to go to the brain stem or spinal cord. Association areas are adjacent to primary areas and further process the modality-specific input. Multimodal integration areas are found where the modality-specific regions meet; they can process multiple modalities together or different modalities on the basis of similar functions, such as spatial processing in vision or somatosensation. 
Informative poster on Broca’s Area of the Brain 
Broca’s and Wernicke’s area 
Broca’s area infogram. 
Broca’s Aphasia. 
PSA “anterior and posterior dichotomy”. Localization of the cerebral central sulcus. PSA, post‐stroke aphasia. 
The diagnosis and differential diagnosis FLow Diagram of Chinese aphasia types of the department of Neurology, Peking University First Hospital. AA, anomic aphasia; BA, Broca aphasia; CA, conductive aphasia; GA, global aphasia; MTCA, mixed transcortical aphasia; SCA, subcortical aphasia; TCMA, transcortical motor aphasia; TCSA, transcortical sensory aphasia; WA, Wernicke aphasia. 
Lesion location and schematic diagram of PSA Chinese aphasia types of the Department of Neurology, Peking University First Hospital. AA, anomic aphasia; BA, Broca aphasia; CA, conductive aphasia; GA, global aphasia; MTCA, mixed transcortical aphasia; SCA, subcortical aphasia; TCMA, transcortical motor aphasia; TCSA, transcortical sensory aphasia; WA, Wernicke aphasia 
Boston classification of aphasia 3. 
Aphasia is a communication disorder that affects a person’s ability to understand, produce, or read written or spoken words. 
Diagram of Broca’s and Wernicke’s area of Human Brain. 
Classification of esophageal dysphagia based on potential underlying mechanism or etiology. - Dysarthria, Agraphia, Alexia, Agnosia (Facial, and/or Object)

Figure 1. Breakdown of dysarthria subtypes within a widely used taxonomy of speech motor disorders. ALS, amyotrophic lateral sclerosis; CP, cerebral palsy; AT, ataxia; HD, Huntington’s disease; MS, multiple sclerosis; MSA, multiple systems atrophy; PD, Parkinson’s disease; PSP, progressive supranuclear palsy; TD, tardive dyskinesia; ARTIC, articulation; PHON, phonation; PROS, prosody; RES, resonance; RESP, respiration. ![Hallmark Features Considered in Differential Diagnosis of Dysarthria [2,30-33].](https://pressbooks.bccampus.ca/pathophysiology/wp-content/uploads/sites/1961/2024/09/Hallmark-Features-Considered-in-Differential-Diagnosis-of-Dysarthria-2-30-33-1.png)
Hallmark Features Considered in Differential Diagnosis of Dysarthria [2,30-33]. 
Visuo-constructive agraphia in writing to dictation. 
Common forms of associative agnosia. 
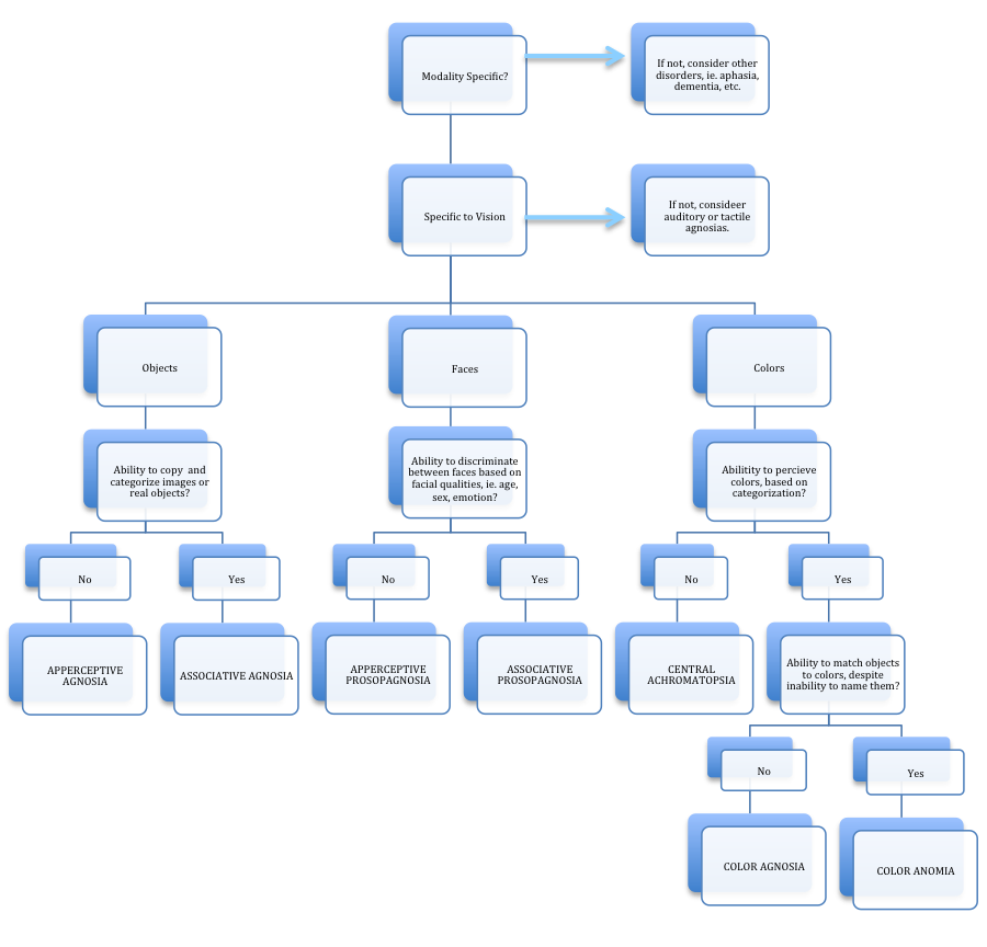
Flowchart for Assessment of Visual Agnosias. 
Prosopagnosia. - Reticular Activating System

Reticular Activating System 
Reticular Activating System and Reticular Formation - Glasgow Coma Scale (or other)

Glasgow Coma Scale 
Glasgow Coma Scale 
Depth of Unconsciousness – Glasgow Coma Scale. 
Final Evaluation of the Patient – Glasgow Outcome Scale. - Cranial Nerve Reflex Tests (e.g. Pupillary reflex test, Oculocephalic reflex test, Corneal Reflex Test, and/or Oculovestibular Reflex Test)

Argyll Robertson pupil light reflex vs accommodation reflex 
Autonomic Control of Pupil Size 
Pupillary Reflex Pathways. 
Simple vestibulo-ocular reflex. 
Also sometimes called caloric reflex, because a stimulation is based on pouring of cold or warm water into the ear. It is better to put patient´s head a slight reclining, because we want to influent especially lateral semicircular tubule of an inner ear. A small amount of water flow induces movement of endolymph.
Test can be sometimes false-positive if there is any other diasease of inner ear. Normally we react just a little bit, because nystagmus in healthy people corrects the eyes movements. There is one special rule for direction of nystagmus: “Cold opposite, warm same (COWS)”, which means that cold water pouring into the left ear leads to eye movement to the left and a direction of the nystagmus is on the right (opposite side). It is the same for the second side – pouring of warm water into the left ear leads to eye movement to the right and a direction of the nystagmus is on the left (same side).
Attention! Do not confuse the direction of nystagmus (COWS rule) and the direction of motion of eyes.
The oculo-cephalic reflex (OCR) is a reflex eye movement that stabilizes images on the retina during head movement by producing an eye movement in the direction opposite to head movement, thus preserving the image on the center of the visual field. For example, when the head moves to the right, the eyes move to the left, and vice versa. This reflex can be tested by the Rapid head impulse test or Halmagyi-Curthoys-test, in which the head is rapidly moved to the side with force, and is controlled if the eyes succeed to remain looking in the same direction. When the function of the right balance system is reduced, by a disease or by an accident, quick head movement to the right cannot be sensed properly anymore. As a consequence, no compensatory eye movement is generated, and the patient cannot fixate a point in space during this rapid head movement. In comatose patients, once it has been determined that the cervical spine is intact, a test of the vestibulo-ocular reflex can be performed by turning the head to one side. If the brainstem is intact, the eyes will move conjugately away from the direction of turning (as if still looking at the examiner rather than fixed straight ahead). Negative Doll’s eyes would stay fixed midorbit, so having negative “doll’s eyes” is a sign that a comatose patient’s brainstem is not intact. There is one very important contraindication of this examination – trauma of a cervical spine – because we could seriously injured patient. Sometimes a result can be false-positive thanks to influence of some medication (anesthesia). - Coma

Coma Ventilator 
Diagnosis of the state of consciousness following brain damage: coma, unresponsive wakefulness syndrome (vegetative state), minimally conscious state minus, minimally conscious state plus and emergence. Wislowska et al. (2017). Night and day variations of sleep in patients with disorders of consciousness 
Figure 1. Different states of consciousness: coma, vegetative state, minimally conscious state, locked-in syndrome, and normal consciousness based on the degree of arousal and awareness. - Deep Coma
- Unresponsive Wakefulness Syndrome

Brain Connectivity in Pathological and Pharmacological Coma 
Causes of Disorders of Consciousness. - Locked-In Syndrome

Neurowiki2 
Brisa Alfaro, 32 year old Pons Stroke and Locked In Syndrome Survivor 
Brisa Alfaro, Pons Stroke/ Locked-In Syndrome Survivor Author, Speaker, Coach. - Corticospinal Tracts

Corticospinal Pathway. 
Illustration of the motor neuron tract descending from primary motor cortex, via spinal cord, to skeletal muscle. - Extrapyrimidal Tracts

Descending pathways in mammals. 
A labelled cross-sectional diagram of the tracts of nervous pathways in the human spinal cord. - UMN or LMN damage causing flaccid paralysis

UMN vs LMN. 
Comparison between central and periferal lesion of motorneurons. - UMN damage causing spastic paralysis

Types of Hypertonia. 
Spastic Hand. 
Decerebrate. 
Decorticate. 
Spasticity. - UMN damage causeing hyperreflexia
- Babinski reflex

Babinski Sign. 
Babinski’s Sign. 
Babinski’s sign. - Muscle tests (e.g. EMG)

Muscle strength assessment by muscle test. - Sensory tests (e.g. two-point discrimination, nerve conduction velocity test)
- 12 Cranial Nerves

Figure 16.28. The human brain contains 12 cranial nerves that receive sensory input and control motor output for the head and neck. 
Cranial Nerves. 
Cranial Nerves. 
Brain human normal inferior view with labels. - Seizures, injury/drug/alcohol-related

Pathophysiological basis of epileptogenesis following TBI 
Classification of post-traumatic seizures. 
Cumulative Incidence of PTE After 30 Years. 
Temporal Lobe Seizure 
ILAE classification of seizure types 2017. - Epilepsy

Psychogenic nonepileptic seizures (PNES) are neurobehavioral conditions positioned in a gray zone, not infrequently a no-man land, that lies in the intersection between Neurology and Psychiatry. 
Epilepsy Safety. .
Сan you show the epilepsy safety guidelines your doctor gave you? About falling, drowning, SUDEP in epilepsy seizures. Do you have your graphic one-page version of all Epilepsy Safety? https://gph.is/g/apLK69y #seizureSafety #epilepsySafety #StaySafeSide
Diazepam2. 
Types of Epileptic Seizures.
- Increased Intracranial Pressure (Cushing’s Triad, Blown (fixed, dilated) Pupil, Papilledema, Ptosis, Loss of consciousness, Otorrhea, Rhinorrhea), Craniotomy, Lumbar Punction (CSF – pink/cloudy/abnormal proteins), Manometer, EEG, MRI, CT scan, PET scan, Doppler ultrasound

Lumbar Puncture. 
Lumbar Puncture. 
Purulent CSF. 
Xanthochrome CSF. 
4 vials of human cerebrospinal fluid. 
Visual mnemonic for understanding the difference between mydriasis and miosis. 
Anisocoria: Condition characterized by an unequal size of the eyes’ pupils. 
Anisocoria. 
Papilledema. 
Human Left Eye Retina Photo with severe Papilledema. 
Diagram showing a craniotomy CRUK 063. 
Decompressive Craniectomy 
A lumbar puncture being performed. 
ICP measurement. 
BF TABLE 1 
BF PIC 4. 
800px-Mannitol 15% yellow background 2. 
Brain Edema. 
Computer Tomography 1. 
Table 3. – Examination of a patient with craniocerebral trauma. 
Diagram showing how you have a lumbar puncture. 
Craniotomy Arachnoid. 
Posterior VP shunt in situ. A more anterior wireless ICP monitor is also present. - Brain herniations (supratentorial, uncal, infratentorial)

Types of Brain Herniations. 
Brain herniation MRI. 
Brain herniation. 
The various common brain herniation types are outlined. Transtentorial herniation (uncal in the diagram) can occur in the opposite direction depending on mass lesion location, and trans-calvarial herniations are not depicted. - Brain contusion

CT-scan of a frontal intracerebral hemorrhage on the right (left image side) as a contre coup. There is dens suture material visible left occipital in the skin. 
Mechanism of contusion progression and its clinical and radiological predictors. Kinetic energy delivered to mechanosensitive endothelial cells during impact induces upregulation of specificity protein 1 (Sp1) and nuclear factor-ĸB (NF-ĸB) which, in turn, upregulates sulfonylurea receptor 1 (SUR-1). There is a resultant increase in blood–brain barrier permeability and edema formation, followed by capillary fragmentation and extravasation of blood, i.e., contusion progression. - Concussion (mild Traumatic Brain Injury, mTBI), Mild concussion, Classic Concussion, Post-concussive syndrome

Closed Head Injury, Closed Brain Injury. 
Concussion Anatomy 
TBI Neuroinflammation 
Figure 1. Pathological events happening during primary and secondary phases of traumatic brain injury with a description of short-term and long-term consequences of brain trauma. Red font is showing the phases of TBI.↑ shows the increased oxidative stress. The figure was created with BioRender.com (accessed on 9 September 2021). 
A car accident. A football tackle. An unfortunate fall. These things—and more—can cause head injuries. Head injuries can happen to anyone, at any age, and they can damage the brain. 
Concussion is a form of minimal brain injury, a subset of the term TBI that encompasses mild to severe brain injuries. Severe concussions may fit into the minimal end of the TBI scale 
Potential cognitive and neurobehavioral sequelae of concussion 
Classification of head injury. 
Typical symptoms and signs of concussion. - Diffuse Axonal Injury (DAI)

Figure 5. Diagram of diffuse axonal injury following TBI/concussion. Many types of damage can occur along the length of the axon, including stretching/pulling of axons which may affect myelination and localization of axonal channel proteins, and tearing and shearing, which will cause loss of axonal integrity. 
Figure 2: Effects of TBI across spatial scales. 
Diffuse axonal injury: illustration. - Skull Fractures (Depressed, Basilar, Linear, Comminuted, Compound), Otorrhea, Rhinorrhea, Ottorhagia,

Skull Fracture Mindmap 
Signs of break in the base of the skull may include bruising behind the ears or around the eyes, or blood behind the ear drum. Blood or cerebrospinal fluid can leaks from the nose or ear. 
Skull Fracture. 
Active otorrhagia from the left ear Figure 2: Dead leech after removal - Contrecoup injury

Contrecoup 
Coup Injury. 
Brain trauma CT. - Primary brain injuries, Secondary brain injuries

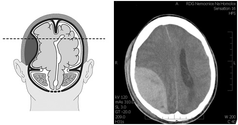
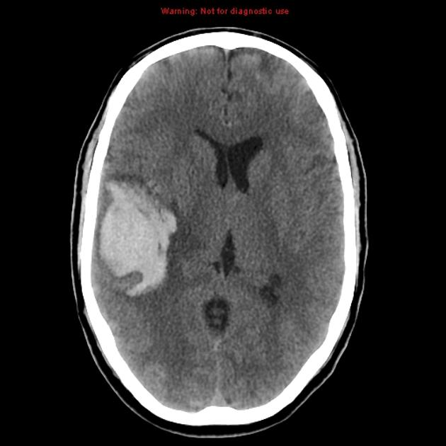
Post-Traumatic Secondary Injury Cascades. - Brain Hematomas (Epidural hematoma, Subdural hematoma, Intracerebral hematoma)

An illustration of Subarachnoid hemorrhage. 
Illustration depicting hemorrhages by location within the different layers of the meninges (left of image) and scalp (right of image). 
Cranial Hemorrhages. 
Acute Epidural Hematoma. 
CT brainAVM non-contrast hematoma. 
Hematoma Comparison. 
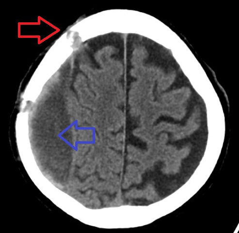
Ct-scan of the brain with an subdural hematoma. 
Chronic subdural bleed with old burr holes. 
Craniocerebral hematoma. - Effects of alcohol on inflammation and increased ICP in brain

Schematic representation showing drug-induced loss of blood-brain barrier. 
Figure 4. Alcohol consumption, categorized as chronic mild–moderate, chronic heavy, or acute heavy (binge drinking), has varying impacts on ICH. ICH is divided into deep ICH, primarily caused by small vessel disease due to hypertension and platelet dysfunction as well as lobar ICH, influenced by cerebral amyloid angiopathy (CAA) and atherosclerosis. Both types involve SBI mechanisms like oxidative stress, neuroinflammation, mitochondrial dysfunction, endothelial dysfunction, and cell apoptosis. Chronic heavy alcohol consumption exacerbates all these SBI mechanisms. Acute heavy consumption contributes to oxidative stress, neuroinflammation, endothelial dysfunction, and apoptosis but not mitochondrial dysfunction. In contrast, chronic mild–moderate consumption can be protective, reducing neuroinflammation and CAA by lowering low-density lipoprotein-cholesterol (LDL-c). - Head Injury Treatments

Tylenol bottle closeup. 
Furosemid 125mg vials yellow background. 
Flowchart of potential head injury rehabilitation services (HI=head injury; rehab=rehabilitation) - Brain Tumors

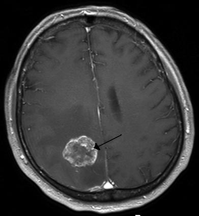
Brain Tumor 
Brain Metastases 
Diagram showing clinical usage of CED to treat glioblastoma 
Figure 3. A meningioma, a benign tumor that developed in the meninges (thin membrane covering the brain), has caused a large hyperostosis (excessive bone growth of the skull). 
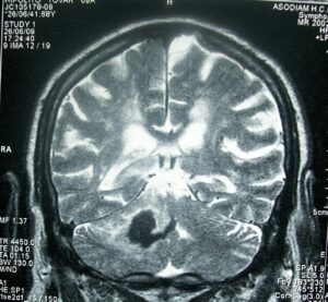
Figure 4. A metastatic tumor in the cerebral hemisphere from lung cancer, shown on magnetic resonance imaging. 
Optic nerve glioma. 
Sitting craniotomy. 
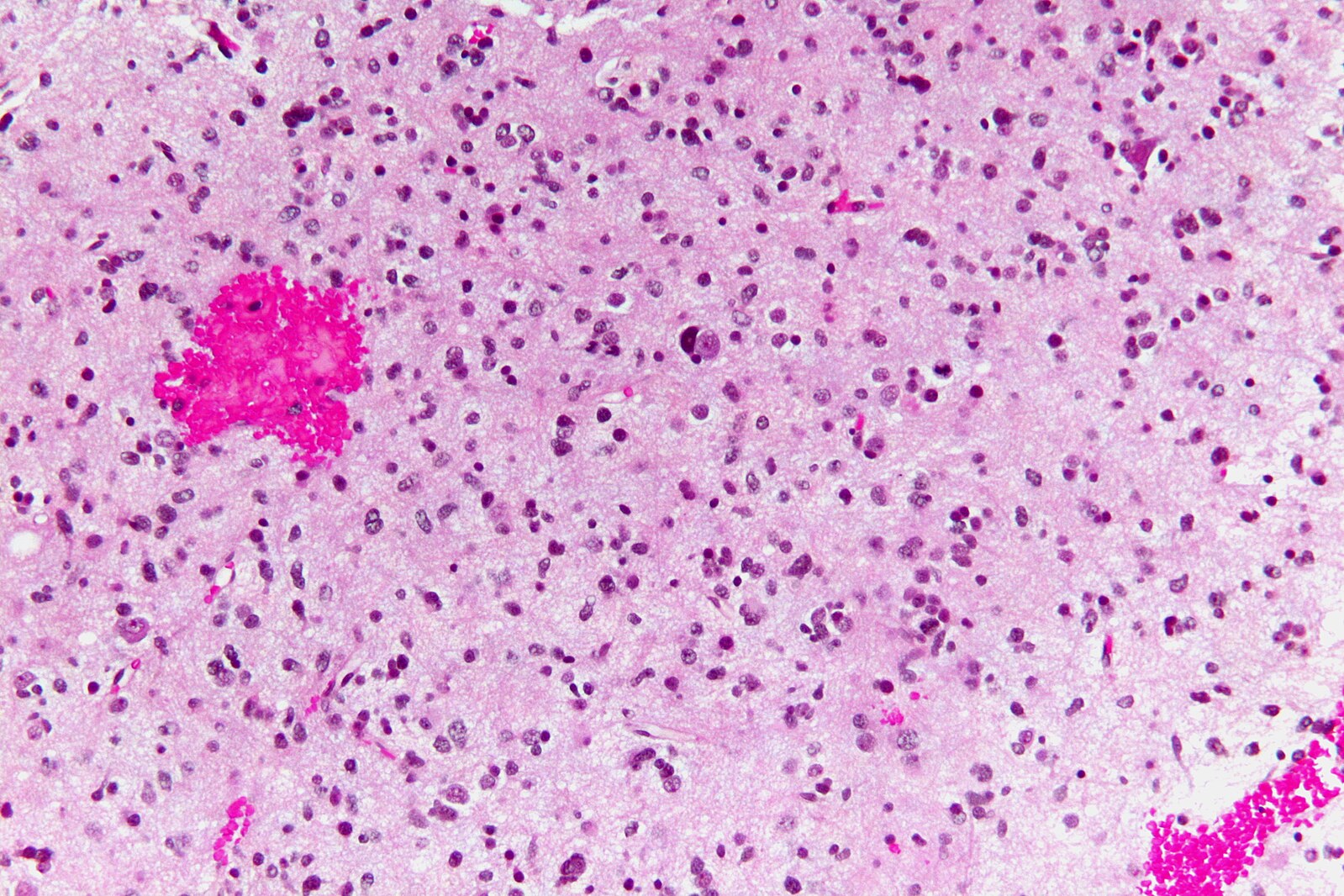
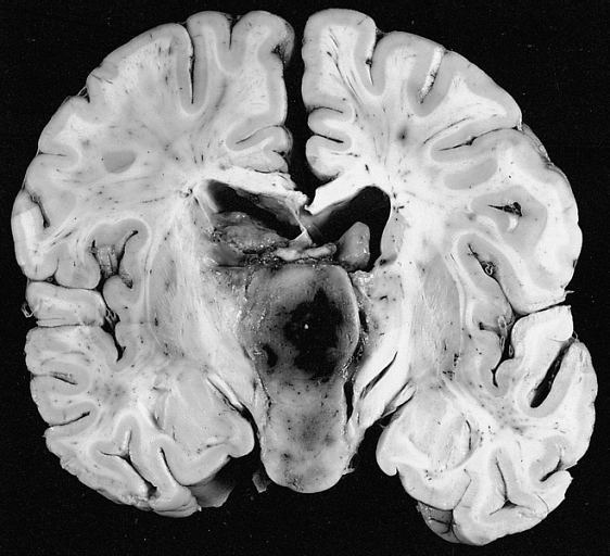
Glioblastoma multiforme. 
Anaplastic astrocytoma – low mag. 
Anaplastic astrocytoma – high mag. 
Astrocytoma. 
Pilocytic astrocytoma of the hypothalamic region. 
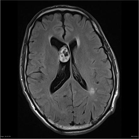
MRI – WHO grade I ependymoma 
MRI brain tumor. 
THYROID PAPILLARY CARCINOMA METASTATIC TO BRAIN. 
Brain-Tumor-Cancer-Symptoms-Causes-Risk-Factors - Transient Ischemic Attack

Transient ischemic attack and minor stroke: diagnosis, risk stratification and management. 
Criteria for adjudication of a TIA, minor stroke, or mimic event in the INSIST study. - Cerebral aneurysms, risk factors, possible complications/sequelae with rupture, treatments

Cerebral aneurysm. 
Cardiovascular system – Aneurysm clip — Smart-Servier. 
Coiled PCA residual aneurysm arteriogram. 
Intracranial aneurysms – inferior view – heat map. 
Cerebral aneurysm. 
Summary of the factors contributing to cerebral aneurysm pathogenesis. Inflammatory cells, cytokines, chemokines, changes to the vascular smooth muscle cells and endothelial cells, and environmental as well as genetic risk factors all play a role in the development of cerebral aneurysms and their progression to rupture. - Stroke (CVA) – hemorrhagic, ischemic due to atheroma or embolus; Risk Factors, Signs/Symptoms, Treatments,

Hemorrhagic Stroke 
Hemorrhagic Stroke 
Stroke Imaging Algorithm. 
Ischemic Stroke 
Arterial Fib Stroke 
Ischemic Stroke. 
Ischemic Stroke 
Stroke Response Times 
Stroke. 
Types of Stroke. 
Stroke definition & symptoms. 
Spatial and temporal relationships of the pathophysiology in ischemic stroke. BBB Blood-brain barrier, DAMPs Damage-associated molecular patterns, Th1 T-helper cell 1, Th2 T helper cell 2 
Figure 1. Classification of stroke subtypes. Stroke is classified into two major forms—ischemic (85%) and hemorrhagic (15%) groups. 
Figure 3. Pathophysiological mechanisms involved in ischemic stroke. The reduction in blood flow, nutrient supply, and energy as a result of cerebral artery occlusion leads to many complex pathophysiological events including energy failure, glutamate excitotoxicity, elevation of intracellular Ca2+ levels, peri-infarct depolarization (spreading depression), impairment of mitochondria function, generation of reactive oxygen species (ROS), activation of microglia, secretion of pro-inflammatory cytokines/chemokines, inflammatory responses, and cell death. 
Figure 1. Interrelated brain–heart diseases and common risk. 
Figure 1. Pathophysiology and Mechanism involved in Ischemic and Hemorrhagic stroke. Briefly, mechanisms involved in both ischemic and hemorrhagic stroke involve cerebral hypo-perfusion leading to oxygen (O2) deprivation causing an increase in anaerobic metabolism and eventually lactic acidosis which sequentially causes astrocyte demise and an increase in neuroinflammatory cytokines thus promoting neuroinflammation. Subsequently, cerebral hypo-perfusion can also cause malfunction of the ionic pump causing potassium ions (K+) efflux, sodium and calcium (Na+ and Ca2+ respectively) influx into the neuronal cells and adenosine triphosphate (ATP) depletion causing excitotoxicity, edema, and eventually led to necrosis. Red blood cell lysis can further cause oxidative damage which further supports necrosis. 
Figure 1. A stroke, sometimes called a brain attack, happens in one of two ways: 1) ischemic strokes occur when an artery is blocked, and 2) hemorrhagic stroke occurs when a blood vessel ruptures. 
Figure 2. Acting F.A.S.T. is key to stroke survival. Face: Does one side of the face droop when smiling? Arms: Does one arm drift downward when both arms are raised? Speech: Is speech slurred or strange when repeating a simple phrase? Time: If you see any of these signs, call emergency services such as 9-1-1 immediately. 
Head MRI stroke 
Photograph of acute middle cerebral artery (MCA) stroke. Image taken at autopsy on 10-24-2006 MODIFIED BACKGROUND 
Intracerebral hemorrhage. 
Cerebral ischemia 
‘Tab. 1 – Overview of the causes of ischemic stroke 
‘Tab. 3 – Overview of contraindications to thrombolytic treatment. 
Tab. 4 – Overview of the most common causes of spontaneous intracerebral hemorrhage. - Multiple Sclerosis

Symptoms and Findings in Multiple Sclerosis 
Myelin sheath damage in multiple sclerosis 
Main Symptoms of Multiple Sclerosis 
Multiple Sclerosis. 
MS Progression. 
Multiple Sclerosis fact 1 - Cerebral Palsy

The stages of musculoskeletal pathology (MSP) in children with spastic cerebral palsy, from birth to skeletal maturity. Note the overlapping age ranges, and that features of Stage 2 and 3 usually occur together. 
The types of cerebral palsy and inaccurately labeled areas of the brain it effects. - ALS

Illustration showing the most common types of ALS and how the upper and lower motor neurons may be affected in each area. 
Diagram of a human highlighting the areas affected by amyotrophic lateral sclerosis (ALS) including the upper motor neurons, lower motor neurons, and frontotemporal region of the brain, along with the muscles affected as a result. 
Low Ca2+ buffering and excitotoxicity under physiological stress and pathophysiological conditions in motor neuron (MNs). 
ALS Mechanisms. 
ALS Disease Pathology and Proposed Disease Mechanisms. 
SOD mutations. 
ALS cross. 
ALS clinical picture. - Myasthenia Gravis

Ptosis myasthenia gravis. 
Myasthenia Gravis. 
Comparison of myasthenia and myopathy. 
ACh [1] is released into synapse [2] but cannot bind to ACh receptors on the muscle fiber because antibodies [3] on the receptors block entry of ACh. Without muscle cell triggering [4], this results in muscle weakness and ACh deficiencies. - Meningitis

Symptoms of Meningitis. 
Bacterial Meningitis. 
Pneumococcal meningitis. 
meningococcal infections 
Patient with menigitiis and menigism (neck stiffness), original caption: Patient violently ill with acute epidemic meningitis. Markedly stuporous and delirious; head retracted and very stiff. 
Neisseria meningitidis - Parkinson’s Disease

Figure 16.31. Parkinson’s patients often have a characteristic hunched walk. 
Gut-Brain Axis of Parkinson’s Disease. 
Parkinson’s Disease Prevalence. 
Microbiota-gut-brain axis. 
The new modern image of Parkinson’s includes many different clinical presentations and includes all genders and cultures (Author Michael S. Okun and Artist Erica Rodriguez). 
The prion hypothesis in Parkinson’s disease, Braak to the future. 
Overview of the gut–brain axis in Parkinson’s disease. 
Parkinson’s Disease 
The diverse nature of nonmotor symptoms affecting Parkinson’s disease (PD) patients. 
Timeline of clinical signs expressed throughout PD. 
Figure 13. Parkinson’s patients often have a characteristic hunched posture and walk with slow, shuffling steps. People with Parkinson’s also have an elevated fall risk. 
Basal ganglia in treatment of Parkinson’s. 
Stalevo® (combination: levodopa, carbidoba, entacapone) 
Insertion of an electrode during deep brain stimulation for Parkinson’s disease. 
Watch for tremors in your hands and/or fingers. 
Check for slowed or distorted movements. 
Look out for a shuffling gait. - Alzheimer’s Disease

Figure 16.30. Compared to a normal brain (left), the brain from a patient with Alzheimer’s disease (right) shows a dramatic neurodegeneration, particularly within the ventricles and hippocampus. (credit: modification of work by “Garrando”/Wikimedia Commons based on original images by ADEAR: “Alzheimer’s Disease Education and Referral Center, a service of the National Institute on Aging”) 
Drawing comparing how a brain of an Alzheimer disease patient is affected to a normal brain. 
Dysfunction of the blood brain barrier in Alzheimer’s Disease. 
Epidemiology all kinds of dementia in which Alzheimer’s, vascular dementia and Alcohol-related dementia are the most common. 
The Causes of Dementia 
How Well are People Living with Dementia 
Recognizing the Signs and Symptoms of Dementia 
Dementia is Not a Natural Part of Growing Old. 
Alzheimer’s Flyer. 
Alzheimers disease progression-brain degeneration. 
The vascular hypothesis of Alzheimer’s disease. 
The risk factors for Alzheimer’s disease. 
Alzheimers entorhinal cortex. 
Alzheimers Disease. 
Figure 8. Electron micrograph of tau protein clusters that occur in Alzheimer’s Disease and CTE. - Huntington’s Disease

Huntingtons Disease CAG Repeats 
Huntington’s disease. (A) Symptoms of Huntington’s disease (HD); the main triad of symptoms is highlighted in bold. (B) The part of the human brain predominantly affected in HD (brown), the striatum. (C) Schematic presentation of the domain organisation of huntingtin (HTT) protein, with the polyglutamine region (PolyQ) (yellow) and HEAT domains (light blue). The repeat numbers indicate the risk of developing HD. Image adapted from Guo et al., 2018. N and C indicate the protein N-and C-terminus; numbers indicate the amino acid length of HTT. (D) Schematic presentation of a HD hallmark-aggregates and inclusion bodies in the cytoplasm of a nerve cell. 
Amyloid Plaque Formation. 
Coronal FSPGR through the brain at the level of the caudate nuclei demonstrating marked reduced volume in keeping with the patient’s known diagnosis of Huntington Disease. 
Huntington’s Disease Triad Conceptual Schema of Patient, Caregiver, and Provider Report. ADLs: Activities of daily living; IADLs: Instrumental activities of daily living. 
Autosomal Dominant Pedigree Chart. 
Signaling pathways involved in stages of Huntington’s disease. 
Huntington Mutation. 
Huntington Pedigree. - Creutzefeldt-Jakob Disease

Ocular Tissues in CJD Patients. 
CJD profiles of MRI and EEG from probable CJD patient. 
Micrograph showing spongiform degeneration (holes/vacuoles) in the cerebral cortex of a patient who had died of Creutzfeldt-Jakob disease; the scale bar = 30 microns (0.03 mm). 
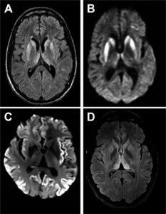
FLAIR-MRI of Creutzfeldt–Jakob disease. 
Creutzfeldt-Jakob disease (CJD) clinical features and progression. The boxes describe clinical variants of CJD. The width of each arrow relates to the proportion of cases with the presentation. Patients with CJD become more similar over time, and almost all enter a phase of ‘akinetic mutism’ before death. 
Prion subdomain-colored sec structure. - Lewy Body Dementia

Deep Brain Stimulation (DBS) of Nucleus Basalis of Meynert (NBM) in Dementia with Lewy Bodies (DLB) 
Coronal schematic of the brain, depicting normal structures and in LBD subjects. - Vascular Dementia

Vascular Dementia. 
Vascular risk factors, cognitive decline, and dementia. 
Alzheimer’s disease-related β-amyloid (Aβ) affects both neuronal and cerebrovascular functions. 
Cerebral vascular lesions and vascular cognitive impairment and dementia. 
Risk Factors for Atherosclerotic Cardiovascular Disease and Dementia. 
Proposed pathways from atherosclerotic cardiovascular risk factors for dementia to the development of disease. 
Scheme illustrating the continuum of risk factors that contribute to VaD etiology. - AIDS Dementia

HIV dissemination to the brain. 
Transmigration of monocytes across the blood brain barrier. 
HIV infection of perivascular macrophages and microglial cells. 
Control of HIV infection in the brain. 
HIV associated encephalitis. 
HIV Neurodegeneration. 
Schematic representation of the relationship between HIV, depression, and (neuro)inflammation.
*For diseases we discuss:
a) Basic Risk Factors
b) Most Common signs and symptoms
c) Basic Pathology
Media Attributions
- 21_trisomy_-_Down_syndrome
- Hypospadias-lg
- Asbestosis_and_cryptococcosis_-_Pleural_plaque_-_X-ray_Case_194_(5998756067) © Yale Rosen is licensed under a CC BY-SA (Attribution ShareAlike) license
- Mallon-Mary_01 © The New York American
- Radiographic_positioning_of_a_chest_x-ray © AndyThesis is licensed under a Public Domain license
- High-grade_prostatic_intraepithelial_neoplasia_intermed_mag © Nephron is licensed under a CC BY-SA (Attribution ShareAlike) license
- Human_Papillomavirus_HPV © National Institute of Allergy and Infectious Diseases (NIAID) is licensed under a CC BY (Attribution) license
- Alzheimers_disease_brain_comparison-scaled-1
- VSD_image
- SlowTheSpread_whiteBG © Esther Kim & Carl T. Bergstrom is licensed under a CC BY (Attribution) license
- Nodular_histocytic_hyperplasia_high_mag © Amarvinita is licensed under a CC BY-SA (Attribution ShareAlike) license
- Fibrous_dysplasia_-_high_mag © Nephron is licensed under a CC BY-SA (Attribution ShareAlike) license
- Lateral_head_anatomy_detail © Patrick J. Lynch is licensed under a CC BY (Attribution) license
- Glucose_Homeostasis_for_Wikipedia
- Asthma_attack-illustration_NIH © By United States-National Institute of Health: National Heart, Lung, Blood Institute is licensed under a Public Domain license
- Total_knee_replacment_convalescence_-2008 © Dave Haygarth is licensed under a CC BY (Attribution) license
- Cynosis © James Heilman is licensed under a CC BY-SA (Attribution ShareAlike) license
- Electrical_burn_exit_wound
- Stroke-Medical-Illustration © Michael J. Hove and Steven A. Martinez is licensed under a CC BY-NC-SA (Attribution NonCommercial ShareAlike) license
- Head_MRI_stroke © Bobjgalindo is licensed under a CC BY-SA (Attribution ShareAlike) license
- MCA-Stroke-Brain-Human-2 © Marvin 101 is licensed under a CC BY-SA (Attribution ShareAlike) license
- Intracerebral_hemorrhage © Yadav YR, Mukerji G, Shenoy R, Basoor A, Jain G, Nelson A is licensed under a CC BY (Attribution) license
- 1920px-05_Hegasy_Multiple_Sclerosis_Wiki_EN_CCBYSA © Guido4 is licensed under a CC BY-SA (Attribution ShareAlike) license
- Myelin_sheath_damage_in_multiple_sclerosis.svg © Mjeltsch is licensed under a CC BY-SA (Attribution ShareAlike) license
- Symptoms_of_multiple_sclerosis © By Mikael Häggström, used with permission. is licensed under a Public Domain license
- Multiple_Sclerosis © BruceBlaus is licensed under a CC BY-SA (Attribution ShareAlike) license
- Ms_progression_types.svg © GetThePapersGetThePapers at English Wikipedia is licensed under a Public Domain license
- multiple_sclerosis_fact_1_by_retroreloads_dcgd3ps-fullview © retroreloads is licensed under a CC BY-NC-ND (Attribution NonCommercial NoDerivatives) license
- children-08-00252-g001 © Graham HK, Thomason P, Willoughby K, Hastings-Ison T, Stralen RV, Dala-Ali B, Wong P, Rutz E is licensed under a CC BY (Attribution) license
- Cerebral_Palsy_Types © Ceimile95 is licensed under a CC BY-SA (Attribution ShareAlike) license
- ALS_subtypes_UMN_LMN_distribution © PaulWicks is licensed under a CC BY-SA (Attribution ShareAlike) license
- Low_Ca2+_buffering_and_excitotoxicity_under_physiological_stress_and_pathophysiological_conditions_in_motor_neuron_(MNs) © http://www.biomedcentral.com/1471-2202/10/64 is licensed under a CC BY (Attribution) license
- ALS_Mechanisms © Rcchang16 is licensed under a CC BY-SA (Attribution ShareAlike) license
- ALS_Disease_Pathology_and_Proposed_Disease_Mechanisms © Philip Van Damme, Wim Robberecht, and Ludo Van Den Bosch is licensed under a CC BY (Attribution) license
- SOD_mutations © Lucia Banci et al. is licensed under a CC BY (Attribution) license
- ALS_cross © Frank Gaillard is licensed under a CC BY-SA (Attribution ShareAlike) license
- ALS_clinical_picture © Okumiya K, Wada T, Fujisawa M, Ishine M, Garcia Del Saz E, Hirata Y, Kuzuhara S, Kokubo Y, Seguchi H, Sakamoto R, Manuaba I, Watofa P, Rantetampang AL, Matsubayashi K - BMJ Open (2014) is licensed under a CC BY (Attribution) license
- Ptosis_myasthenia_gravis © Mohankumar Kurukumbi, Roger L Weir, Janaki Kalyanam, Mansoor Nasim, Annapurni Jayam-Trouth. is licensed under a CC BY (Attribution) license
- Tay-sachsUMich
- Wikipedia_Project_Myasthenia_gravis_(5).svg © Libbyspek is licensed under a CC BY-SA (Attribution ShareAlike) license
- 702px-Symptoms_of_Meningitis.svg © Mikael Häggström is licensed under a Public Domain license
- Bacterial_Meningitis © tekksavvy is licensed under a Public Domain license
- Meningococcal_infection_diagram.webp © Stephanie Hodeib, Jethro A. Herberg, Michael Levin & Vanessa Sancho-Shimizu is licensed under a CC BY (Attribution) license
- 1600px-Neck_stiffness_cropped © Neck_stiffness.jpg: L.A. Marty, M.D, Kansas City derivative work: Hic et nunc (talk) is licensed under a Public Domain license
- Figure_35_05_02 © Charles Molnar and Jane Gair is licensed under a CC BY (Attribution) license
- Gut-brain_axis_overview © Chao Yin-Xia, Gulam Muhammad Yaaseen, Chia Nicholas Shyh Jenn, Feng Lei, Rotzschke Olaf, Tan Eng-King is licensed under a CC BY (Attribution) license
- Parkinsons-disease-prevalence © Npatne is licensed under a CC BY-SA (Attribution ShareAlike) license
- Enteric_Nervous_System © Natale, Gianfranco, Larisa Ryskalin, Gabriele Morucci, Gloria Lazzeri, Alessandro Frati, and Francesco Fornai is licensed under a CC BY (Attribution) license
- Modern_Parkinson’s_Disease_Image © Erica Rodriguez (artist), Michael S. Okun (author) is licensed under a Public Domain license
- The_prion_hypothesis_in_Parkinson’s_disease,_Braak_to_the_future © Beckie Port, adapted from work by Patrick J. Lynch is licensed under a CC BY (Attribution) license
- Blausen_0704_ParkinsonsDisease © BruceBlaus is licensed under a CC BY (Attribution) license
- biology-09-00103-g001.webp © Váradi C. is licensed under a CC BY (Attribution) license
- biology-09-00103-g002.webp © Váradi C. is licensed under a CC BY (Attribution) license
- Basal_ganglia_in_treatment_of_Parkinson’s.svg © Mikael Häggström, based on image by Andrew Gillies/User:Anaru is licensed under a CC BY-SA (Attribution ShareAlike) license
- 1600px-Stalevo © Walter Hochauer is licensed under a CC BY-SA (Attribution ShareAlike) license
- Parkinson_surgery is licensed under a CC BY-SA (Attribution ShareAlike) license
- Figure_35_05_01-1024×457-1 © Charles Molnar and Jane Gair is licensed under a CC BY (Attribution) license
- Brain-ALZH © Garrondo is licensed under a Public Domain license
- Blood_brain_barrier_Alzheimer’s © Dong Wang, Fanglian Chen, Zhaoli Han, Zhenyu Yin, Xintong Ge, Ping Lei is licensed under a CC BY (Attribution) license
- Epidemiology_of_young-onset_dementia_2010_en © Pereoptic is licensed under a CC BY-SA (Attribution ShareAlike) license
- Dementia_-_The_causes_of_dementia_(6871016212) © Number 10 is licensed under a CC BY-SA (Attribution ShareAlike) license
- Dementia_-_How_well_are_people_living_with_dementia?_(6871017886) © Number 10 is licensed under a CC BY-SA (Attribution ShareAlike) license
- Dementia_-_Recognising_the_signs_and_symptoms_of_dementia_(7017124741) © Number 10 is licensed under a CC BY-SA (Attribution ShareAlike) license
- Dementia_is_not_a_natural_part_of_growing_old_(6871015972) © Number 10 is licensed under a CC BY-SA (Attribution ShareAlike) license
- Alzheimers_flyer © Leveled eggs is licensed under a CC BY-SA (Attribution ShareAlike) license
- Alzheimers_disease_progression-brain_degeneration © National Institute on Aging is licensed under a Public Domain license
- ijms-23-09777-g006.webp © Nordestgaard, Liv Tybjærg, Mette Christoffersen, and Ruth Frikke-Schmidt. is licensed under a CC BY (Attribution) license
- AlzheimersRisk.webp © Zeinab Breijyeh is licensed under a CC BY (Attribution) license
- Alzheimers_entorhinal_cortex © https://commons.wikimedia.org/wiki/User:7mike5000 is licensed under a CC BY-SA (Attribution ShareAlike) license
- Blausen_0017_AlzheimersDisease © BruceBlaus is licensed under a CC BY (Attribution) license
- electron-micrograph-of-tau-clusters-46603522841-db037b © Michael J. Hove and Steven A. Martinez is licensed under a CC BY-NC-SA (Attribution NonCommercial ShareAlike) license
- Huntingtons-disease-A-Symptoms-of-Huntingtons-disease-HD-the-main-triad-of © Jarosińska, Olga; Rüdiger, Stefan is licensed under a CC BY (Attribution) license
- Huntington © Frank Gaillard is licensed under a CC BY-SA (Attribution ShareAlike) license
- Huntingtons-Disease-Triad-Conceptual-Schema-of-Patient-Caregiver-and-Provider-Report © David Victorson, Noelle Carlozzi, Samuel Frank, & Jennifer L Beumont. is licensed under a CC BY-NC-ND (Attribution NonCommercial NoDerivatives) license
- 1200px-Autosomal_Dominant_Pedigree_Chart.svg © Jerome Walker is licensed under a CC BY-SA (Attribution ShareAlike) license
- fnins-15-657338-g001 © Wiprich MT and Bonan CD is licensed under a CC BY (Attribution) license
- Ocular_Tissues_(33294085198) © NIH Image Gallery from Bethesda, Maryland, USA is licensed under a Public Domain license
- CJD_profiles_of_MRI_and_EEG_from_probable_CJD_patient © Bo-Yeong Choi1 , Su Yeon Kim1 , So-Young Seo1 , Seong Soo A An2 , SangYun Kim3 , Sang-Eun Park4 , Seung-Han Lee5 , Yun-Ju Choi5 , Sang-Jin Kim6 , Chi-Kyeong Kim1 , Jun-Sun Park1 and Young-Ran Ju is licensed under a CC BY (Attribution) license
- Practneurol-2016-001571f02 © Pract Neurol is licensed under a CC BY (Attribution) license
- practneurol-2016-001571f01 © Mead, S., & Rudge, P. is licensed under a CC BY (Attribution) license
- Prion_subdomain-colored_sec_structure © Cornu is licensed under a CC BY-SA (Attribution ShareAlike) license
- Untitled-1 © Zhang Q, Kim Y-C and Narayanan NS is licensed under a CC BY-SA (Attribution ShareAlike) license
- fnagi-13-690293-g001 © Manzanza NdO, Sedlackova L and Kalaria RN is licensed under a CC BY (Attribution) license
- Fcvm-08-803169-g0001 © Mossanen Parsi M, Duval C, Ariëns RAS. is licensed under a CC BY (Attribution) license
- 41440_2019_357_Fig1_HTML © Shuko Takeda, Hiromi Rakugi & Ryuichi Morishita is licensed under a CC BY (Attribution) license
- 41440_2019_357_Fig2_HTML © Shuko Takeda, Hiromi Rakugi & Ryuichi Morishita is licensed under a CC BY (Attribution) license
- 13024_2023_640_Fig1_HTML © Yasuteru Inoue, Francis Shue, Guojun Bu & Takahisa Kanekiyo is licensed under a CC BY (Attribution) license
- ijms-23-09777-g001 © Nordestgaard, Liv Tybjærg, Mette Christoffersen, and Ruth Frikke-Schmidt. is licensed under a CC BY (Attribution) license
- ijms-23-09777-g009 © Nordestgaard, Liv Tybjærg, Mette Christoffersen, and Ruth Frikke-Schmidt. is licensed under a CC BY (Attribution) license
- fnagi-13-727590-g001 © Lecordier S, Manrique-Castano D, El Moghrabi Y and ElAli A is licensed under a CC BY (Attribution) license
- HIV-dissemination-to-the-brain © immunopedia.org is licensed under a CC BY-NC-SA (Attribution NonCommercial ShareAlike) license
- Transmigration-of-monocytes-across-the-blood-brain-barrie2 © immunopaedia.org is licensed under a CC BY-NC-SA (Attribution NonCommercial ShareAlike) license
- HIV-infection-of-perivascular-macrophages-and-migroglial-cells © Immunopaedia.org is licensed under a CC BY-NC-SA (Attribution NonCommercial ShareAlike) license
- control-of-HIV-Infection-in-the-brain © Immunopaedia.org is licensed under a CC BY-NC-SA (Attribution NonCommercial ShareAlike) license
- hiv-associated-encephalitis © Immunopaedia.org is licensed under a CC BY-NC-SA (Attribution NonCommercial ShareAlike) license
- Neurodegeneration © Immunopaedia.org is licensed under a CC BY-NC-SA (Attribution NonCommercial ShareAlike) license
- 41380_2022_1619_Fig1_HTML © Arish Mudra Rakshasa-Loots, Heather C. Whalley, Jaime H. Vera & Simon R. Cox. is licensed under a CC BY (Attribution) license