Chapter 6 Selected Diseases and Disorders of the Respiratory System
Chapter 6 Respiratory Diseases and Disorders – Sakshi
Zoë Soon
Creative Commons – Simple Pictures, Images, Video Clips, and/or Gifs that help illustrate any of the following:
*For diseases we discuss:
a) Basic Risk Factors
b) Most Common signs and symptoms
c) Basic Pathology, with basic diagnostic tools (e.g. imaging, blood tests) and basic treatment
1 – Review of Respiratory System Anatomy














Figure 11 – Respiratory centres of the brain that control the respiratory rate and ventilation. The major brain centers involved in pulmonary ventilation are the medulla oblongata and the pontine respiratory group.


2 – Diagnostic Tools – Spirometry, Arterial Blood gas, Oximeter, Exercise Tolerance Testing, X-ray, Bronchoscopy, Culture and Sensitivity Tests, Sneezing Reflex, Coughing Reflex,














Figure 4(c): Working of an X-ray
Figure 4(d): X-ray Body in Motion – Yoga by Hybrid Medical Animation








3 – Signs & Sympoms: sputum (yellow, green, red, rusty, thick tenacious), hemoptysis, breathing sounds and pace, eupnea, laboured, wheezing stridor, rales, rhonchi, absence, dyspnea, orthopnea, cyanosis, pleuritic pain, friction rub, clubbed fingers

hemoptysis – is a medical term for coughing up blood from airways or lungs. It is different from vomiting blood or bleeding from nose or mouth. Blood coughed up due to haemoptysis will likely be frothy and bright red. The symptoms include but not limited to fever, fatigue, chest pain, weight loss and shortness of breath.
breathing sounds and pace –
eupnea – also known as quiet breathing or the resting respiration is the normal breath. Here the process is completely passive and engages the elastic recoil of the lungs. In comparison to eupnea, apnea is the absence of respiration, dyspnea is diffcult respiration, bradypnea is slower respiration, and trachypnea is fast respiration.
laboured – is abnormal respiration identified as struggling to breathe. It at times can be accompanied with wheezing or gasping symptoms. The causes for laboured breathing can be many including but not limited to emphysema, lung cancer, tuberculosis, asthma, ventricular dysfunction etc.
wheezing stridor– is a high pitched noise caused due to obstruction around the voice box. To determine the level of obstruction it is important to identify whether the stridor is occurring during the inspiration or the expiration of the breath or both. Its causes could be infection, narrow airways (birth defect), abnormal swelling of the airway or a growth causing the obstruction, compression from external structures, etc.
rales – are the crackling or rattling sounds made by the lungs during inhalation and are caused by the “explosive” opening and collapsing of the small airways due to either excess fluid or lack of aeration. The causes of rales could be atelectasis, pneumonia, congestive heart failure etc.
rhonchi – is an involuntary and abnormal sound heard caused usually due to secretions obstructing the airway passage. The sounds are caused by the air forcefully flowing through the thick mucus secretions deposited in the larger as well as the smaller airway structures like bronchioles and alveoli. It is the mostly common in COPD and bronchitis patients.
absence –
dyspnea – it is an uncomfortable breathing sensation. It involves different shortness of breath sensations, including but not limited to suffocation, chest tightness, partial exhalation, gasping/hunger for air, shallow, fast and heavy breathing. The common dyspnea causes are heart failure, pulmonary edema, pneumonia and pregnancy.


orthopnea – is dyspnea occurring lying flat. When a orthopnea patients lies flat there is an increase in venous return to the lungs that causes an increase in venous and pulmonary pressure. It stops the patient from lying normally and to sleep sitting-up. It can be commony seen in asthmatic, bronchitis, sleep apnea or heart patients.

cyanosis– occurs when there is oxygen shortage in the blood. The inadequate oxygen causes the skin, lips, earlobes and nails to turn blue-purple tint. It is usually caused by heart, lungs or blood-related issues.






pleuritic pain– is caused during pleurisy, a condition of inflamed pleura caused by a variety of virus or bacterial or other illnesses that travels to the pleurae. The pleuritic chest pain can be defined as a sharp pains that gets worse during inspiration or expiration. Apart from the bacterial or viral infections, pleurisy can also be caused by autoimmune diseases (lupus), pleural disease (i.e., mesothelioma), chest trauma, sickle cell disease, IBD, pulmonary embolism and certain medications etc. (can make an image using bio-render)
friction rub – also known as pleural friction rub, is an involuntary breath sound resulting from the movement of inflamed and swollen pleural surfaces against each other. It can usually better heard during lung auscultation.


clubbed fingers – also known as clubbing is a finger deformity associated with heart or lungs diseases involving constant low oxygen levels. Here, the angle of nail bed gets distorted, fingernails enlarge and get really curvy. The most common cause of clubbed finger is lung cancer however it can also be caused by heart defects, heart/lung infections, celiac disease, cirrhosis etc.



4 – Definitions: hypoxemia, hypercapnea, hypoxia, (an informative/summary figure can be made using Bio-render)


Hypoxemia – is a condition involving abnormally low blood oxygen levels. It can lead to bluish skin, difficulty breathing and fast heart rate. Apart from sleep apnea and higher altitudes, hypoxemia can be also be caused by many underlying illnesses, mainly lung and heart related especially in conditions of low environmental oxygen, diffusion impairment, hypoventilation, right -to left atrial shunting (image below).


Hypoxia – is a condition involving abnormally low levels of oxygen in body tissues. It can lead to bluish skin, confusion, difficulty breathing, restlessness and fast heart rate. Hypoxia is different to hypoxemia as hypoxia is low oxygen levels in tissues whereas hypoxemia is low oxygen levels in blood.
Figure 3 (a) – video – https://commons.wikimedia.org/wiki/File:Hypoxia_video.webm#file (unable to address citations for this video)







TSS: transcriptional start site;
TTS: transcriptional termination site



Hypercapnea – is also known as hypercarbia. It is a condition related to high carbon dioxide levels in the body. Carbon-dioxide can get built up in the blood if the body doesn’t successfully get rid of it within time. Conditions that either increase the levels of carbon-dioxide in the body or prevent the waste carbon-dioxide from getting to the lungs and discarded are usually the main causes of hypercapnea. Illnesses related to lung, brain, muscles and nerves are usually the most common causes. Hypercapnia is different to hypoxemia as hypercapnia is the condition with high carbon-dioxide levels in blood whereas hypoxemia is low oxygen levels in blood.




5 – Aging Respiratory System – arthritic changes, emphysema, elastcitiy (compliance) (an informative/summary figure can be made using Bio-render)
– I am not sure if this is what exactly is needed here, but I added what I thought was relevant to the topic.
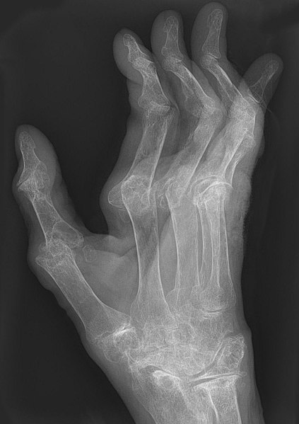
Arthritic changes – Arthritis is related to a condition of painful joints due to inflammation or swelling. A type of arthritis is rheumatoid arthritis, it is an autoimmune disease where the immune system attacks the joints, starting with the lining of joints. Rheumatoid arthritis is heavily related to lung problems, about 80% of arthritic patients have lung-related issues, making it the second leading cause of death with rheumatoid arthritis patients. Rheumatoid arthritis caused lung problems are most commonly extra-articular i.e., outside of the joints and involves pulmonary nodules; damage to the lung airways, pleural effusion and interstitial lung disease. In rheumatoid arthritis associated interstitial lung disease the auto-immune system gets over active and attacks the lungs and causes scarring. With time, the scarring build-up leads to difficulty breathing and reduced lung function.

























Emphysema – With age there are various structural, functional and immunological changes that take place within the respiratory system. The anatomical changes include thoracic spine and chest wall distortion leading to impairment in the respiratory system and heavier breathing load. Due to the loss of its supporting structures, the lung parenchyma faces “senile emphysema” i.e., dilation of air spaces. In addition to that, the airway clearance needed for effective cough is also hindered due to the loss of strength in the respiratory muscles.
Elastcitiy (compliance) – Aging is strongly associated with a significant decrease in elastic recoil and fibrous strength. With age, there is inevitable reduction in the thoracic compliance and augmentation in lung compliance. Thoracic (chest wall) compliance regulates the elastic load during inhalation whereas the lung compliance regulates the rate and force of exhalation. With aging there are significant structural changes to the thoracic spine and cage which ultimately leads to depletion in chest wall compliance.
6. Acute Respiratory Distress Syndrome (ARDS)
For distinction from neonatal respiratory distress syndrome, acute respiratory distress syndrome was also labelled as adult respiratory distress syndrome (ARDS). It involves inflammation in the lung parenchyma, increased alveolar permeability, reduced lung compliance and non-functional gas exchange. The increased alveolar permeability allows fluid to build up which in-turn prevents the lungs from filling up air, causing less oxygen in the bloodstream. The oxygen deprivation sequentially leads to organ failure. Low blood-oxygen levels in the bloodstream not only affects the lungs but, also harms other organs in the body and prevents oxygen from reaching them for normal functioning. The intensity of the disease can be determined by measuring and comparing blood-oxygen levels. ARDS is a rapidly developing and potentially fatal lung disease, most people don’t survive ARDS. ARDS survivors mostly have lasting damage to their lungs. The risk of death and the severity of the disease increases with age. The main symptom of ARDS is distressing shortness of breath, which develops within the first couple hours and lasts longer than the illness and the duration of recovery.
7. Respiratory Failure
Respiratory failure is a critical condition that develops due to low blood-oxygen levels in the bloodstream that makes involuntary tasks like breathing almost impossible to do on your own. The low blood-oxygen levels results due to inadequate gas exchange during pulmonary circulation, which could be because of pump failure or lung failure. Pump failure is a ventilation failure which causes hypercapnia whereas lung failure is gas exchange failure causing hypoxemia. It can also de defined as arterial oxygen tension (Pao2 < 60mmHg) or arterial carbon dioxide tension (PaCO2).

Respiratory failure can be of four types depending on their intensity levels;
Type I: – involves a ventilation/perfusion mismatch that causes untreatable hypoxemia (PaO2). Another characteristic of type I respiratory failure is alveolar flooding.
Type II: – involves alveolar hypoventilation resulting in hypercapnia (PaCO2). There is a significant reduction in the alveolar minute ventilation that entails inadequate removal of carbon dioxide.
Acute respiratory failure vs chronic respiratory failure: In type II respiratory failures, there is active vs chronic respiratory failure, active failure matures and progress over minutes to a couple days and involves respiratory acidosis (a condition where lungs are not able to get rid of all the carbon dioxide in the body). On the contrary, chronic failure takes anywhere from days to months to develop and involves a higher PaCO2 including increased levels of serum bicarbonate due to renal compensation.
Type III: – type III respiratory failure usually takes place in the peri or post operative period where the abdominal wall mechanics are abnormal. Patients usually have progressive atelectasis due to inadequate functional residual capacity leads to . The clinical progression of type III respiratory failure usually leads to either type I or type II respiratory failure.
Type IV: – is due to underlying circulatory collapse or shock (insufficient oxygen levels in the body) due to which patients are usually mechanically ventilated.

Causes of Respiratory Failure: can occur due to issues in any pathological or anatomical parts of the respiratory system.
- Central Nervous System – any condition that affects or lowers the conscious level.
- Peripheral Nervous System – any condition that affects the peripheral neural system (e.g. Guillain-Barré syndrome (GBS), nerve or spinal injury)
- Musculoskeletal System – any condition that affects the musculoskeletal part of the body (e.g. rib fractures, neuromuscular blockade)
- Airway Pathology – any condition that affects the airways (e.g. tumor, foreign body or laryngospasm)
- Pleural Pathology – any condition that affects the pleural parts of the lungs (e.g. haemothorax, pneumothorax or effusions)
- Pulmonary Pathology – any condition that affects the lungs (e.g. pulmonary fibrosis, pulmonary oedema, ARDS)
- Vasculature – any condition that affects vascular parts of the lungs (e.g. pulmonary embolism)

B – shows the major conditions that cause respiratory failure.
Assessment/diagnosis: There are specific tests that can be done for diagnosis and advising the right therapy:
- Chest X-ray – can be used to image any problems or abnormality in lung pathology (e.g. pleural effusions etc).

- Computed Topography – can be used for an intensive and more detailed imaging of injuries and abnormalities in the anatomical pathology (e.g. detection of pulmonary emboli or airway tumor).
- Arterial Blood Gas – this test can be done for quantifying the severity of the respiratory failure or measuring the oxygen concentration in the blood to test for hypoxia severity.



- Peak Expiratory Flow – this test can be done to measure the severity of airway obstruction.




- Thoracic Ultrasound – this test is superior to any other tests in determining the respiratory conditions.
Management: Like any other acute disease management, management for respiratory failure should also start with general measures leading up to the more focused strategies depending on the type and severity of the condition.
General Measures:
- Supplemental Oxygen – usually indicated for majority of the patients, can be delivered using devices such as nasal cannulae or Venturi masks.




- Secretion Control – In patients with respiratory failure there is often high production of sputum secretions that can cause poor gas exchange and lead to mucus plugging or lung failure. To prevent this from happening simple strategies like deep breathing, chest physiotherapy or mucolytic medications can help.
- Antibiotics – can and should only be taken if there is an infection and within the hour of diagnosis.
- Bronchodilators – are generally offered and provided to patients with substantial airflow obstruction to reduce airway inflammation and narrowing.

Bronchodilators
Specific Measures: are only really applied if any improvements are seen through the general measures.
- High flow nasal cannulae – consists of wider – bore prongs and offers humidification and titration of oxygen concentrations to be delivered.

- Continuous positive airway pressure (CPAP) – machine supplied continuous positive pressure during the entire breathing cycle causing better oxygenation by narrowing the shunt (i.e., inadequate alveolar ventilation). This is generally using in high dependency units.




- Non-Invasive Ventilation – helps with the supply of bi-level positive airway pressure. This can be provided using simple or more sophisticated machines outside or inside high dependency units, respectively. It is one step down from invasive ventilation strategies.




- Invasive Mechanical Ventilation – here a tracheostomy (insertion of a tube into the trachea from outside) is performed. It is only applied when the rest of the measures have failed (i.e., CPAP or NIV fails; deteriorating blood gases despite focused medical treatments) or conditions such as, clinical deterioration, sever respiratory acidosis or muscle fatigue. There are very high risks and complications of invasive mechanical ventilation and therefore it is only commenced in special cases and alway by a intensivist/specialist.


vocal cords:
1- Thyroid cartilage
2- Ring corpel
3- Tracheal cartilage
4- Balloon cuff





8. Cystic Fibrosis :

-
before you start cystic fibrosis – add figure legend for all the images you added
-
double check images for before respiratory failure – add ones you forgot
-
add non-invasive images too
-
block the parts you’ve concluded
-
START FROM HYPOXIA PARAGRAPH.
- Cystic Fibrosis
- Lung Cancer
- Allergies,
- Asthma – Extrinsic and Intrinsic
- COPD – Emphysema
- COPD – Chronic Bronchitis
- Pulmonary Embolus
- Ventilation:Perfusion ratio/shunt
- Atelectasis – obstructive, compression, contraction, postoperatvive
- Pleural effusion
- Pneumothorax – closed (simple/primary or secondary), open, tension
- NEED TO GO BACK AND CHECK OPEN-STAX AND OTHER RESOURCES FOR ALL THESE TOPICS
Sakshi – It looks like we can’t embed Sketfab – as shown by large gray boxes below, but we can insert hyperlinks to their website… I’ve started doing this for you. (click on open in new tab)..
From Sketchfab, try out:
- 3D Labelled Anatomy of the Larynx
- 3D Labelled Respiratory System part 1
- 3D Labelled Respiratory System part 2
 
The next one is from: https://sketchfab.com/3d-models/pathophysiology-of-asthma-6d215eab5a324f4ca8ed74c3db36aa87